Stomatologia cyfrowa

Leczenie implantologiczne to obecnie najskuteczniejsza i najbardziej komfortowa metoda uzupełniania braków zębowych. Implanty stomatologiczne mają postać tytanowych śrub wprowadzonych do kości W gabinetach Dentomedica stomatologia cyfrowa jest standardem, co sprawia, że wizyta stomatologiczna ukierunkowana na estetykę uzębienia to komfortowe i nie stresujące doświadczenie. Jest to możliwe dzięki zastąpieniu analogowych metod leczenia, w pełni cyfrowym protokołem wykorzystującym między innymi skaner wewnątrzustny, oprogramowanie i drukarki 3D. Co to oznacza dla Ciebie? Skanowanie zamiast wycisków. Używamy skanera wewnątrzustnego, który w kilka minut tworzy precyzyjny model Twoich zębów w 3D na ekranie monitora, na każdym etapie pracy. Dzięki temu, zarówno lekarz stomatolog jak i pacjent oraz zespół w laboratorium protetycznym ma dokładny obraz sytuacji klinicznej.​

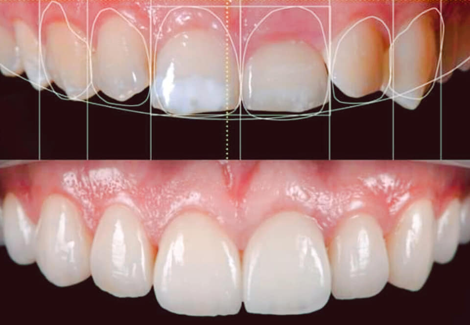
Zobaczysz ponadto efekt przed startem! Dzięki cyfrowemu projektowaniu uśmiechu (Digital Smile Design), poprzez połączenie zdjęć twarzy i uśmiechu ze skanami zębów możemy pokazać Ci wizualizację Twojego nowego uśmiechu, zanim w ogóle zaczniemy leczenie! Dzięki temu nie kupujesz „kota w worku”. Możesz zgłosić swoje uwagi i poprawki przed wykonaniem ostatecznej pracy. Niewątpliwą zaletą stomatologii cyfrowej jest maksymalna precyzja. Oprogramowanie i komputerowe frezarki pozwalają na wykonanie koron, licówek, czy mostów dopasowanych idealnie do Twoich warunków klinicznych. Ponadto  proces ten zapewnia  oszczędność czasu. Cyfrowy przepływ skanów i projektów sprawia, że prace protetyczne trafiają do pacjenta znacznie szybciej. Jest to rozwiązanie dla każdego, kto ceni sobie komfort, najwyższą jakość i chce